ILAE Logo
Epilepsy Diagnosis Logo

GANGLIOGLIOMA

Imaging

Imaging for optimized detection of ganglioglioma:

MRI should include thin slice volumetric T1-weighted images, axial and coronal T2-weighted and FLAIR images.

Imaging characteristics of ganglioglioma:

The appearance of a ganglioglioma can vary due to variable growth patterns, but may include:

  • Either a partly cystic abnormality, with an enhancing mural nodule or a solely solid abnormality (which may expand an overlying gyrus)
  • Solid components that are iso- or hypointense on T1-weighted images and hyperintense on T2-weighted images
  • Solid components that enhance commonly (~50%)
  • Areas of calcification, that are commonly seen (>30%, seen on CT or T2* weighted MR imaging)
  • Scalloping of the inner table of overlying skull bone, without actual skull bone erosion
  • A distinct absence of peritumoral edema (on T2-weighted images/FLAIR)

Gangliogliomas can co-occur with focal cortical dysplasia and/or with hippocampal sclerosis.

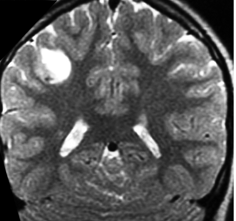
Imaging of a ganglioglioma

The images show a CT, T2-weighted and FLAIR image of a ganglioglioma, with a cystic component and an enhancing mural nodule, seen on the contrast CT image.

ganglioglioma 1

ganglioglioma 2

ganglioglioma 3

Feedback | Home | Contact Us | Privacy | Terms & Conditions of Use | Log In For Videos
Creative Commons License
This website is owned by the International League Against Epilepsy. Text on this website, last updated June 30, 2024,
is available under a Creative Commons Attribution-ShareAlike 4.0 International License,
EXCEPTING all videos and images, which remain copyrighted by the International League Against Epilepsy.