ILAE Logo
Epilepsy Diagnosis Logo

TUBEROUS SCLEROSIS

Imaging

Imaging for optimized detection of tuberous sclerosis:

MRI, with thin slice volumetric T1-weighted images, axial and coronal T2-weighted and FLAIR images.

Imaging characteristics of tuberous sclerosis:
  • cortical tubers (present in 80% or more patients, cerebellar tubers may also be present)
  • subependymal nodules (present in 95% or more patients)
  • subependymal giant cell astrocytoma (present in around 10-15% of patients)
  • white matter abnormalities and cysts

The pathological and imaging features of cortical tubers can be indistinguishable from those of focal cortical dysplasia (FCD IIb). Hemimegalencephaly has been reported in some patients with tuberous sclerosis.

Imaging in tuberous sclerosis

This is a T2-weighted image of a cortical tuber in an immature brain. There is a localized area of gyral expansion in the right frontal lobe, with abnormal low signal in the underlying white matter. The imaging features of this tuber can be similar to that of a focal cortical dysplasia (FCD type IIb).

TS1

Imaging in tuberous sclerosis

Both images below are from the same patient and show:

  • multiple cortical tubers - areas of gyral expansion with thickening of the overlying cortex and abnormal signal in the underlying white matter
  • subependymal nodules
  • white matter abnormality

TS2

TS3

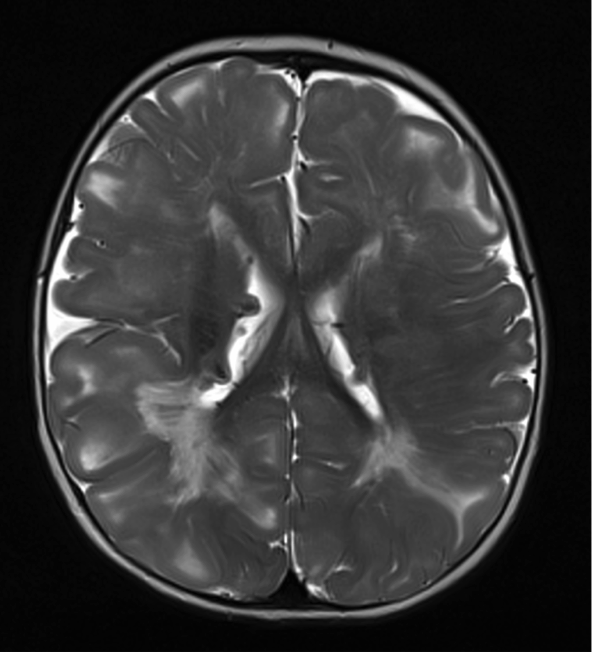
Imaging in tuberous sclerosis

The image below is a T2-weighted image showing cortical tubers in the right and left frontal lobes (arrows).

TS4

Feedback | Home | Contact Us | Privacy | Terms & Conditions of Use | Log In For Videos
Creative Commons License
This website is owned by the International League Against Epilepsy. Text on this website, last updated June 30, 2024,
is available under a Creative Commons Attribution-ShareAlike 4.0 International License,
EXCEPTING all videos and images, which remain copyrighted by the International League Against Epilepsy.